Особенности амплификации генов CCND1 и EGFR и их соответствие с экспрессией белков CYCLIN D1 и EGFR при плоскоклеточном раке языка
- Авторы: Зибиров Р.Ф.1, Бехтерева И.А.2, Мозеров С.А.1,3
-
Учреждения:
- Национальный медицинский исследовательский центр радиологии
- Санкт-Петербургский медико-социальный институт
- Национальный исследовательский ядерного университета МИФИ
- Выпуск: Том 22, № 2 (2025)
- Страницы: 57-62
- Раздел: Статьи
- Статья опубликована: 26.07.2025
- URL: https://filvestnik.nvsu.ru/2658-4514/article/view/688305
- DOI: https://doi.org/10.19163/2658-4514-2025-22-2-57-62
- ID: 688305
Цитировать
Полный текст
Аннотация
Цель исследования: оценка количества опухолевых клеток с амплификацией генов CCND1 и EGFR при плоскоклеточном раке языка и ее соответствие с экспрессией белков Cyclin D1 и EGFR. Материал и методы. Для цитогенетического исследования использовались мазки 19 наблюдений плоскоклеточного рака языка, после чего проводилась биопсия соответствующих участков опухоли. Цитогенетическое исследование выполнено методом интерфазной флуоресцентной in situ гибридизации (FISH). Иммуногистохимическое исследование выполнено с помощью антител к Cyclin D1 и EGFR. Результаты. В опухолевых клетках всех образцов выявлена амплификация генов EGFR и CCND1. Количество клеток с амплификацией изучаемых генов занимало широкий диапазон. Так, для гена EGFR она составила от 1 до 59 клеток, а для гена CCND1 составила от 1 до 87 клеток. В 100 % наблюдений амплификация EGFR и CCND1 сочетались. Диффузная, преимущественно умеренная экспрессия EGFR определялась в 17 (89 %) из 19 наблюдений, очаговая слабая экспрессия – в двух наблюдениях (11 %). Экспрессия Cyclin D1 всех анализируемых наблюдений была очаговой – слабой и умеренной. Заключение. Цитогенетическими особенностями плоскоклеточного рака языка является широкий диапазон опухолевых клеток с амплификацией генов EGFR и CCND1, составляющий 1-59 и 1-87 соответственно. Опухолям с амплификацией EGFR соответствует диффузная экспрессия белка EGFR в 89 % наблюдений и очаговая экспрессия в 11 % наблюдений. Опухолям с амплификацией CCND1 соответствует очаговая экспрессия Cyclin D1 во всех наблюдениях.
Ключевые слова
Полный текст
Ежегодно в мире умирает 145 тыс. больных со злокачественными новообразованиями ротовой полости, а диагностируются 830 тыс. новых случаев [1, 2]. Протоонкоген CCND1 принимает участие в прогрессии опухоли и может применяться как прогностический маркер, а его амплификация способствует неблагоприятному клиническому исходу заболевания [3]. Рецептор эпидермального фактора роста (EGFR) играет важную роль в канцерогенезе плоскоклеточного рака полости рта. Изменение числа копий гена является одним из механизмов увеличения экспрессии белка EGFR, и связано с метастатическим поражением лимфатических узлов, инвазивным ростом опухоли и периневральной инвазией, глубиной опухолевой инвазии, стадией опухоли. Опухолевые клетки с амплификацией EGFR обладают большой способностью к инвазии [4].
Цель работы
Провести оценку количества опухолевых клеток с амплификацией генов CCND1 и EGFR и ее соответствие с экспрессией белков Cyclin D1 and EGFR при плоскоклеточном раке языка.
Методика исследования
Были изучены 19 наблюдений плоскоклеточного рака языка, полученных в радиологическом отделении Медицинского радиологического научного центра им. А. Ф. Цыба в период с 2018 по 2020 г. Возраст пациентов составил от 27 до 89 лет (средний возраст 56,7 ± 11). Материал 12 наблюдений (64 %) принадлежал лицам мужского пола и 7 наблюдений (36 %) женщинам. Цитогенетически изучались мазки опухолевой ткани рака языка. В качестве «внутреннего контроля» исследовали образцы контралатеральной интактной слизистой оболочки языка этих же пациентов. Предметные стекла с нанесенными на них мазками помещали в фиксатор (смесь метанола и уксусной кислоты в соотношении 3 : 1).
Исследование выполнено методом интерфазной флуоресцентной in situ гибридизации (FISH) с применением коммерческих ДНК-зондов ген/центромера хромосомы: EGFR/CEP7 и CCND1/ CEP11 (Kreatech, Нидерланды). Денатурацию ДНК проводили в автоматической камере Hybrite при 74 °С в течение 7 минут. Гибридизацию осуществляли при 37 °С в термостате в течение 18 часов. Для визуализации препаратов наносили DAPI (4,6-диамидино-2-фенилиндол). Анализ цитогенетических нарушений выполнялся на флуоресцентном микроскопе AxioImager (Zeiss). В каждом наблюдении анализировали по 100-230 клеток и оценивали количество клеток опухоли с амплификацией генов CCND1, EGFR. Для гистологического исследования во всех случаях использовался биопсийный материал опухоли.
В соответствии с критериями классификации ВОЗ наблюдения были разделены на высокодифференцированные (G1), умереннодифференцированные (G2) и низкодифференцированные (G3) плоскоклеточные раки. В соответствии с TNM классификацией наблюдения были разделены на T1, T2, T3, T4. Для иммуногистохимического исследования использовались антитела к Cyclin D1 (клон AM29, Zymed Laboratories, разведение 1 : 50) и к EGFR (Novocastra, разведение 1 : 20). Для уточнения связи между количеством опухолевых клеток с амплификацией EGFR и CCND1 использовали коэффициент ранговой корреляции Спирмена. Сформулированы нулевая (Н0) и альтернативная (Н1) гипотеза: Н0 – корреляции между переменными не отличаются от нуля; Н1 – корреляции между переменными отличаются от нуля. Статистические гипотезы проверяли на уровне значимости α = 0,05
Результаты исследования и их обсуждение
Цитогенетическое исследование
При изучении амплификации гена EGFR исследовано 3 440 опухолевых клеток и 3 066 клеток – при изучении амплификации гена CCND1. Во внутреннем контроле исследовано 900 клеток (табл. 1)
Таблица 1. Результаты цитогенетического исследования количества клеток с амплификацией EGFR и CCND1 в ткани опухоли и контрольной (контралатеральной) стороне языка
Ген/центромера | Группа | Количество исследованных клеток | Медиана клеток с амплификацией |
EGFR/CEP7 | «Внутренний контроль» | 900 | 1 |
Опухоль | 3440 | 9 | |
CCND1/CEP11 | «Внутренний контроль» | 900 | 1 |
Опухоль | 3066 | 13 |
В опухолевых клетках всех образцов выявлена амплификация генов EGFR и CCND1. Количество клеток с амплификацией изучаемых генов занимала широкий диапазон. Так, для гена EGFR она составила от 1 до 59 клеток, а для гена CCND1 составила от 1 до 87 клеток. Из таблицы следует, что медиана клеток с амплификацией генов EGFR и CCND1 в опухоли превышает показатели контралатеральной интактной стороны языка. В 100 % наблюдений амплификация EGFR и CCND1 сочетались. Количество опухолевых клеток с амплификацией EGFR, CCND1 и соответствующие им категории Т и степени дифференцировки показаны в табл. 2.
Таблица 2. Результаты цитогенетического исследования количества клеток с амплификацией EGFR и CCND1 в ткани опухоли в зависимости от категории Т и степени опухолевой дифференцировки
Категория опухоли Т | Степень | Количество опухолевых клеток | Количество опухолевых клеток |
с увеличением копий EGFR | с увеличением копий CCND1 | ||
Т1 | G1 | 6 | 6 |
Т1 | G1 | 29 | 87 |
Т1 | G1 | 5 | 1 |
Т2 | G1 | 31 | 53 |
Т2 | G2 | 14 | 23 |
Т2 | G2 | 12 | 38 |
Т2 | G1 | 20 | 13 |
Т2 | G3 | 1 | 6 |
Т2 | G1 | 59 | 51 |
Т2 | G1 | 3 | 12 |
Т2 | G1 | 3 | 26 |
Т2 | G2 | 2 | 7 |
Т2 | G1 | 42 | 6 |
Т2 | G2 | 1 | 3 |
Т3 | G2 | 3 | 10 |
Т3 | G3 | 5 | 52 |
Т3 | G2 | 16 | 18 |
Т3 | G1 | 2 | 12 |
T4 | G1 | 22 | 14 |
В наблюдениях разных категорий и дифференцировки определялось как небольшое, так и увеличенное количество клеток с амплификации EGFR и CCND1 (рис. 1, 2).
При проведении корреляционного анализа между категорией опухоли Т и количеством опухолевых клеток с увеличением копий EGFR значимых различий не получено (p = 0,46).
При проведении корреляционного анализа между категорией опухоли Т и количеством опухолевых клеток с увеличением копий CCND1 значимых различий не получено (p = 0,46).
При проведении корреляционного анализа между степенью опухолевой дифференцировки и количеством опухолевых клеток с увеличением копий EGFR значимых различий не получено (p = 0,46).
При проведении корреляционного анализа между степенью опухолевой дифференцировки и количеством опухолевых клеток с увеличением копий CCND1 значимых различий не получено (p = 0,46).
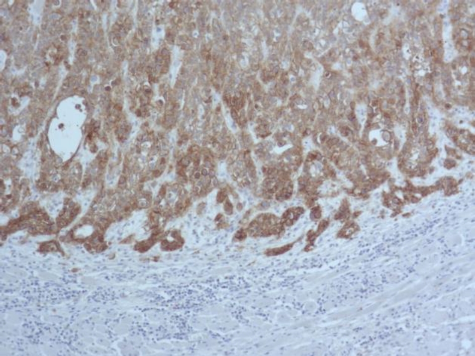
Во всех 19 исследуемых наблюдениях проведено дополнительное параллельное иммуногистохимическое исследование по выявлению экспрессии белков EGFR и Cyclin D1 соответственно, при этом диффузная, преимущественно умеренная экспрессия EGFR опреде-лялась в 17 (89 %) из 19 наблюдений (рис. 3), очаговая слабая экспрессия – в двух наблюдениях (11 %).
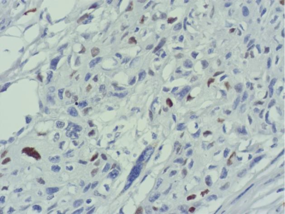
Экспрессия Cyclin D1 всех анализируемых наблюдений была очаговой, слабой и умеренной (рис. 4).
Рис. 1. Опухолевая клетка плоскоклеточного рака языка с амплификацией гена CCND1 (красные сигналы)
Рис. 2. Опухолевая клетка плоскоклеточного рака языка с амплификацией гена EGFR (4 красных сигнала)
Рис. 3. Диффузная экспрессия EGFR в клетках плоскоклеточного рака языка. ИГХ окрашивание, ×100
Рис. 4. Очаговая слабая и умеренная экспрессия Cyclin D1 в клетках плоскоклеточного рака языка. ИГХ окрашивание, ×400
Рецептор EGFR в опухолевых клетках способствуют пролиферации, инвазии и метастазированию, а его гиперэкспрессию часто связывают с неблагоприятным исходом заболевания при опухолях головы и шеи [5]. Амплификация гена EGFR в нашем исследовании определялась в 100 % наблюдений, однако выявлялась в различном количестве опухолевых клеток как при начальных категориях опухоли и высокой степени дифференцировки, так и при более поздних категориях опухоли и низкой степени дифференцировки. При категориях Т1 и T4 встречались наблюдения с количеством клеток, незначительно отличающихся друг от друга. Таким образом, мы не обнаружили связь между категорией опухоли и степенью дифференцировки с количеством опухолевых клеток с амплификацией EGFR. По данным исследователей, частота амплификации гена EGFR при плоскоклеточном раке полости рта составляет от 17-31 %, однако количество клеток с амплификацией данного гена не изучалось [6]. Исследователи отмечают более частое выявление амплификации гена EGFR при плоскоклеточном раке полости рта поздних стадий, чем ранних [7].
По данным других исследователей, низкодифференцированные опухоли чаще встречались на поздних стадиях заболевания (T3-T4), однако характеризовались амплификацией EGFR, как и в высокодифференцированных опухолях [8]. Это несоответствие может указывать на то, что амплификация EGFR оказывает неопределенное влияние на поведение плоскоклеточного рака ротовой полости [9].
В нашем исследовании в 100 % наблюдений с амплификацией гена EGFR выявлена экспрессия белка EGFR, однако в 89 % экспрессия была сильной, а в 11 % наблюдений – умеренной. Исследователями также в 100 % наблюдений рака языка выявлено соответствие между амплификацией гена EGFR и экспрессией белка EGFR, однако наблюдения с высоким количеством копий EGFR сопровождались более интенсивной экспрессией белка EGFR при иммуногистохимическом исследовании. Мы не выявили такой закономерности.
Количество опухолевых клеток с амплификацией гена CCND1 в наших наблюдениях составило от 1 до 87, при этом гиперэкспрессии белка Cyclin D1 не определялось, экспрессия была очаговой, слабой и умеренной. По данным исследователей амплификация протоонкогена CCND1 при раке ротовой полости зависит от локализации, в частности, при раке языка составляет 88 [11] и 56,5 % [12], при плоскоклеточном раке щеки – 56 % [11], однако количество клеток с амплификацией не изучалось. В случаях разных категорий и степеней опухолевой дифференцировки определялась очаговая, слабая и умеренная экспрессия белка Cyclin D1, независимо от количества клеток с амплификацией протоонкогена CCND1. В работе исследователей также отсутствовала корреляционная связь между амплификацией CCND1 и экспрессией белка Cyclin D1 в случае плоскоклеточном раке полости рта [13].
Заключение
Таким образом, диапазон опухолевых клеток с амплификацией EGFR и CCND1 находится в широких пределах и составляет 1-59 и 1-87 клеток соответственно. При этом опухолевым клеткам с амплификацией EGFR соответствует преимущественно сильная диффузная экспрессия белка EGFR, а с амплификацией CCND1 – очаговая, слабая и умеренная экспрессия белка Cyclin D1. Нами не выявлена связь между количеством опухолевых клеток с амплификацией EGFR, CCND1 и стадией опухоли, а также степенью ее дифференцировки.
Об авторах
Р. Ф. Зибиров
Национальный медицинский исследовательский центр радиологии
Автор, ответственный за переписку.
Email: patologr@mail.ru
Медицинский радиологический научный центр им. А. Ф. Цыба, врач-патологоанатом патологоанатомического отделения
Россия, ОбнинскИ. А. Бехтерева
Санкт-Петербургский медико-социальный институт
Email: mozerov@list.ru
доктор медицинских наук, доцент, заведующая кафедрой патологии и судебной медицины
Россия, Санкт-ПетербургС. А. Мозеров
Национальный медицинский исследовательский центр радиологии; Национальный исследовательскийядерного университета МИФИ
Email: mozerov@list.ru
Медицинский радиологический научный центр им. А. Ф. Цыба, Обнинский институт атомной энергетики, доктор медицинских наук, профессор кафедры морфологии
Россия, Обнинск; ОбнинскСписок литературы
- Зибиров Р. Ф., Мозеров С. А. Сравнительная характеристика предикторных морфологических факторов плоскоклеточного рака языка. Волгоградский научно-медицинский журнал. 2020;2:18–25.
- Katirachi S. K., Grønlund, M. P., Jakobsen K. K., Grønhøj Ch. , von Buchwald Ch. The prevalence of HPV in oral cavity squamous cell carcinoma. Viruses. 2023;15(2):451.
- Johnson D. E., Burtness B., Leemans C. R., Yan Lui V. W. , Bauman J. E. , Grandis J. R. Head and neck squamous cell carcinoma. Nat Rev Dis Primers. 2020;6(1):92.
- Huang S. F., Chien H. T., Cheng S. D., Wen-Yu Ch. , Chun-Ta L. , Hung-Ming W. et al. EGFR copy number alterations in primary tumors, metastatic lymph nodes, and recurrent and multiple primary tumors in oral cavity squamous cell carcinoma. BMC Cancer. 2017;17(1):592.
- Sheikh A. M. A., Gunduz M., Nagatsuka H. et al. Expression and mutation analysis of epidermal growth factor receptor in head and neck squamous cell carcinoma. Cancer Sci. 2008;99(8:)1589–1594.
- Bernardes V. F., Gleber-Netto F. O., Sousa S. F., Rocha R. M., Ferreira de Aguiar M. C. EGFR status in oral squamous cell carcinoma: comparing immunohistochemistry, FISH and CISH detection in a case series study. BMJ Open. 2013;3(1):e002077.
- Costa V., Kowalski L. P., Coutinho-Camillo C. M., Begnami M. D., Calsavara V. F., Neves J. I. et al. EGFR amplification and expression in oral squamous cell carcinoma in young adults. Int J Oral Maxillofac Surg. 2018;47(7):817–823.
- Huang S. F., Cheng S. D., Chien H. T., Chun-Ta L., Hung-Ming W., Shiang-Fu H. Relationship between epidermal growth factor receptor gene copy number and protein expression in oral cavity squamous cell carcinoma. Oral Oncol. 2012;48(1):67–72.
- Tsiambas E., Stavrakis I., Lazaris A.C., Karameris Patsouris A. E. Evaluation of epidermal growth factor receptor gene and chromosome 7 alterations in squamous cell carcinoma of the larynx, using chromogenic in situ hybridization on tissue microarrays. The Journal of Laryngology & Otology. 2007;21(6):563–570.
- Ryott M., Wangsa D., Heselmeyer-Haddad K., Lindholm J., Elmberger G., Auer G. et al. EGFR protein overexpression and gene copy number increases in oral tongue squamous cell carcinoma. Eur J Cancer. 2009;45(9):1700–1708.
- Mahdey H. M., Ramanathan A., Ismail S. M., Abraham M. T., Jamaluddin M., Zain R. B. Cyclin D1 amplification in tongue and cheek squamous cell carcinoma. Asian Pac J Cancer Prev. 2011;12(9):2199–2204.
- Fuji M., Ishiguro R., Yamashita T., Tashiro M., Inoue M., Yano M. et al. Cyclin D1 amplification correlates with early recurrence of squamous cell carcinoma of the tongue. Cancer Lett. 2001;172:187–192.
- Ohnishi Y., Watanabe M., Wato M., Tanaka A., Kakudo K., Nozaki M. Cyclin D1 expression is correlated with cell differentiation and cell proliferation in oral squamous cell carcinomas. Oncology letters. 2014;7(4):1123–1127.
Дополнительные файлы







