Examination of elderly people at a periodonatl dental appointment
- Авторлар: Kireev V.V.1, Karartinyan A.O.1, Sevbitov A.V.2, Dorofeev A.E.2, Kuznetsova M.Y.2
-
Мекемелер:
- Dental clinic
- I. M. Sechenov First Moscow State Medical University (Sechenov University)
- Шығарылым: Том 21, № 2 (2024)
- Беттер: 52-57
- Бөлім: Articles
- ##submission.datePublished##: 03.09.2024
- URL: https://filvestnik.nvsu.ru/2658-4514/article/view/635414
- ID: 635414
Дәйексөз келтіру
Толық мәтін
Аннотация
The specifics of the diagnosis and treatment of elderly patients require a new approach to standard treatment regimens for periodontal diseases. In recent years, the modern diagnostic software complex «Florida Probe» (Florida Probe Corporation, USA) has been widely used in periodontal surgery. Aim. Determination of the volume of diagnostic periodontal care for the elderly in the State Budgetary Institution of the RO «SP» in Rostov-on-Don in dynamics over three years (2021–2023) using the diagnostic software complex "Florida Probe". Materials and methods. For the study, the performance indicators of three dentists providing periodontal care to the population were used. The periodontal room is equipped with a modern diagnostic software complex "Florida Probe" (Florida Probe Corporation, USA), and we can trace the dynamics of the use of computer sensing over three years. Results. Periodontal doctors performed computer diagnostics of periodontal tissue diseases using electronic probing devices, while in 2021 66 % of patients were elderly people, in 2022 84 %, and in 2023 the figure reached 89.6 %. Conclusion. The use of the Florida Probe diagnostic software complex helps to reduce the time for examination of the patient and filling out the periodontal chart, to record changes in periodontal tissues in response to the treatment, to motivate the patient for further cooperation with the doctor.
Негізгі сөздер
Толық мәтін
Успех пародонтологического лечения напрямую зависит от правильно поставленного диагноза, что, в свою очередь, требует тщательной диагностики состояния пародонта.
Большую часть пациентов пародонтологического приема составляют пациенты пожилого возраста (согласно классификации ВОЗ – это лица 60–74 лет).
Рост количества пациентов пожилого возраста связан с тенденцией постарения населения за счет увеличения продолжительности жизни, причем отмечается ухудшение общесоматического статуса в популяции. Общесоматические и стоматологические заболевания, в частности пародонтит, могут отягощать течение друг друга. Поэтому очень важно вовремя диагностировать заболевания пародонта, особенно среди пожилых пациентов [1, 2].
Цель работы
Оценка эффективности диагностики тканей пародонта пожилых людей с помощью программно-диагностического комплекса Florida Probe (Florida Probe Corporation, США).
Методика исследования
Исследование проводилось на базе ГБУ РО «СП» в г. Ростове-на-Дону в структурном подразделении по ул. Сержантова 3а. Для исследования использовались показатели работы трех врачей-стоматологов, оказывающих пародонтологическую помощь населению. Пародонтологический кабинет оснащен современным программно-диагностическим комплексом Florida Probe (Florida Probe Corporation, США), и мы можем проследить динамику использования компьютерного зондирования за три года (см. табл.).
Динамика проведения компьютерной диагностики заболеваний пародонта за три года
Период (годы) | Компьютерная диагностика заболеваний пародонта с использованием электронных зондирующих устройств | Компьютерная диагностика заболеваний пародонта с использованием электронных зондирующих устройств среди пациентов пожилого возраста |
2021 | 189 | 125 |
2022 | 269 | 227 |
2023 | 375 | 336 |
Результаты исследования и их обсуждение
Прирост использования компьютерной диагностики заболеваний пародонта связан с удобством применения как для врача, так и пациента. Врачи отмечали удобство фиксирования всех необходимых показателей состояния пародонта, сохранение предыдущих осмотров показывает динамику течения заболевания, что позволяет оценить успех лечения.
Пациенты отмечали безболезненность проведения диагностики, наглядность имеющихся проблем десен. С использованием такой программы пациенту легко донести его состояние пародонта, что повышает мотивацию к дальнейшему лечению.
Основным диагностическим критерием в обследовании пародонтологического пациента является глубина пародонтального кармана. С этой целью применяется пародонтологический зонд, которым измеряют глубину зондирования в шести точках в области каждого зуба и данные заносят в пародонтальную карту пациента [3, 4].
Глубина пародонтального кармана – это расстояние от края десны до дна зубодесневой борозды. Этот критерий не всегда в полной мере характеризует состояние пародонта, так как в пожилом возрасте часто встречаются дегенеративные изменения пародонта, такие как рецессия десны. Поэтому было предложено измерять уменьшение уровня клинического прикрепления, которое оценивается по расстоянию от цементно-эмалевого соединения до дна зубодесневой борозды или пародонтального кармана [5, 6].
Важным критерием воспалительных процессов в пародонте является кровоточивость при зондировании пародонтального кармана. Но у пациентов пожилого возраста этот критерий не всегда является достоверным. Отсутствие обильной кровоточивости при наличии воспалительных заболеваний пародонта может быть связано со склеротическими изменениями сосудов. Также обильная кровоточивость при зондировании может присутствовать у пациентов, которые принимают антикоагулянты, салицилаты. При проведении зондирования необходимо отмечать гноетечение, что свидетельствует об обострении хронического процесса и требует принятия неотложных мер по ликвидации воспалительного процесса.
Во время зондирования можно оценить уровень индивидуальной гигиены пациента по наличию зубного налета.
После зондирования пародонтальных карманов необходимо оценить подвижность зубов. Различают три степени подвижности:
I – подвижность в вестибулярно-язычном направлении до 1 мм;
II – подвижность в вестибулярно-язычном направлении от 1 до 2 мм;
III – подвижность в вестибулярно-язычном направлении более 2 мм, а также вертикальная подвижность.
Помимо подвижности зубов необходимо отметить вовлечение бифуркации корней в патологический процесс. Выделяют три класса поражения бифуркации корней:
I – горизонтальная утрата пародонтальной поддержки по 1,5 мм;
II – дефект бифуркации более 1,5 мм, но не сквозной;
III – сквозной дефект бифуркации [7, 8].
Учитывая, что достаточно большое количество показателей необходимо отметить в пародонтальной карте пациента, был создан программно-диагностический комплекс Florida Probe (Florida Probe Corporation, США). Он состоит из программного обеспечения, электронного зонда и ножного переключателя, с помощью которого фиксируется глубина зондирования, кровоточивость и гноетечение. Компьютер воспроизводит голосовое сообщение о наличии кровоточивости десен, глубине кармана, гноетечении и подвижности зубов. После проведения зондирования программа составляет пародонтограмму, в которой будут указаны все необходимые данные о состоянии пародонта. Отметив зубы с имеющимся зубным налетом, программа посчитает гигиенический индекс. Плюсом использования данной программы является то, что в ней сохраняются предыдущие исследования, что необходимо для оценки успеха лечения и динамики заболевания. Наглядная демонстрация результатов обследования повышает мотивацию для пациента. Также в программе имеются информационные видеоролики для пациента [9, 10].
После проведения осмотра пациента приступаем к рентгенологическому исследованию, которое является дополнительным методом в диагностике заболеваний пародонта, но необходимо для постановки окончательного диагноза. Для этой цели используют полную серию прицельных рентгенограмм или КЛКТ.
Клинический случай
За пародонтологическим лечением обратилась женщина 61 года с жалобами на неприятный запах из полости рта, кровоточивость десен при чистке зубов, подвижность зубов, несостоятельность ортопедических конструкций.
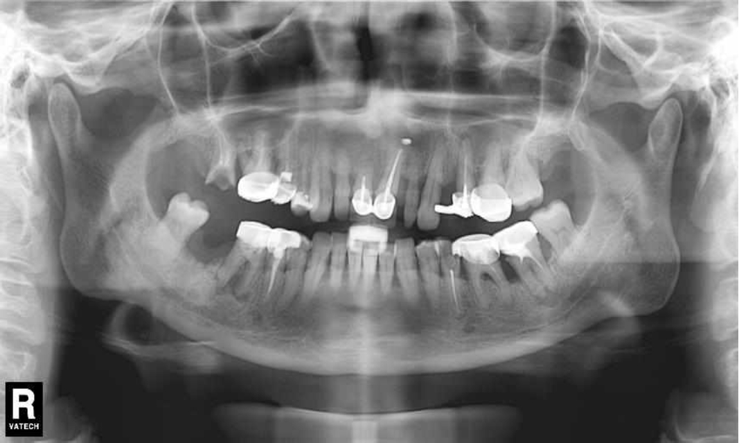
Ранее у пародонтолога не наблюдалась. При осмотре выявлены: неудовлетворительная индивидуальная гигиена полости рта, пародонтальные карманы до 7 мм, обильная кровоточивость и гноетечение из пародонтальных карманов, подвижность зубов 4.2, 4.1, 3.1, 3.2 II степени, обильные над- и поддесневые зубные отложения (рис. 1). На ортопантомограме отмечается резорбция костной ткани до ½ длины корня, очаги остеопороза (рис. 2). Пациенту был поставлен диагноз хронический генерализованный пародонтит тяжелой степени тяжести. При осмотре была составлена пародонтограмма с использованием компьютерного зондирования (рис. 3).
Рис. 1. Внешний вид
Рис. 2. Ортопантомограмма исходной ситуации пациента состояния полости рта
Рис. 3. Пародонтограмма с использованием компьютерного зондирования при первичном обращении
Для стабилизации пародонтологического статуса было проведено комплексное лечение, которое включало в себя: системную антибиотикотерапию, пациент был обучен гигиене полости рта, были подобраны средства индивидуальной гигиены, была проведена профессиональная гигиена полости рта с использованием ультразвукового скейлера, аппарата Air-flow, проведена поддесневая инструментальная обработка.
В качестве поддерживающего пародонтологического лечения проводилась обработка поверхности корней с применением аппарата «Вектор», диодного лазера. Для домашнего использования были подобраны ополаскиватели с содержанием хлоргексидина, рекомендованы аппликации противовоспалительных стоматологических гелей. После снятия воспалительных явлений пародонта провели шинирование 4.3, 4.2, 4.1, 3.1, 3.2, 3.3 зубов с применением стекловолоконной ленты. Контроль лечения проводился через 1, 3 и 6 месяцев.
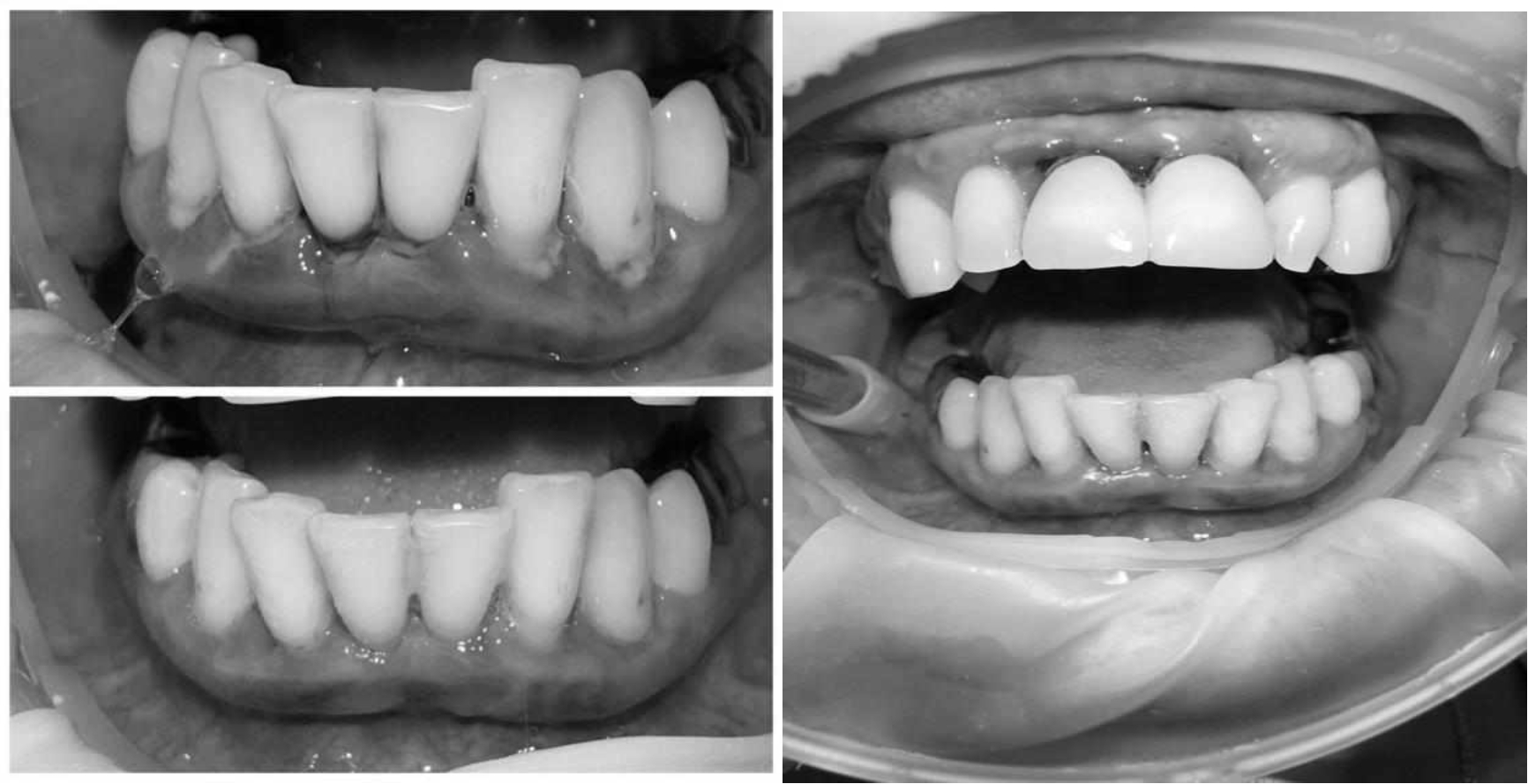
Через 6 месяцев при осмотре выявлен удовлетворительный уровень индивидуальной гигиены, отсутствие участков кровоточивости и гноетечения (рис. 4), пародонтальные карманы уменьшились в размерах (рис. 5). Пациент отмечает значительные улучшения. После стабилизации пародонтологического статуса пациент направлен для дальнейшего ортопедического лечения.
Рис. 4. Динамика результата через 6 месяцев
Рис. 5. Пародонтограмма с использованием компьютерного зондирования через 6 месяцев
Заключение
Обследование пожилых пациентов на пародонтологическом приеме должно быть комплексным, междисциплинарным, учитывать соматические заболевания и прием лекарственных препаратов. Отмечается ежегодный прирост числа исследований компьютерной диагностики заболеваний пародонта с использованием электронных зондирующих устройств с 189 иссле-дований в 2021 г. до 375 в 2023 г. практически в 2 раза (1,98), при этом из них 89,6 % составляли пациенты пожилого возраста.
Программно-диагностический комплекс Florida Probe помогает сократить время на обследование пациента и заполнение пародонтальной карты, фиксировать изменения пародонта в ответ на проводимое лечение, мотивировать пациента для дальнейшего сотрудничества с врачом.
Авторлар туралы
Vladimir Kireev
Dental clinic
Хат алмасуға жауапты Автор.
Email: dr.kireev-v.v@yandex.ru
ORCID iD: 0000-0002-7856-5541
Head of the department of therapeutic dentistry № 3
Ресей, Rostov-on-DonAnna Karartinyan
Dental clinic
Email: anna.reznichenko@rambler.ru
Doctor
Ресей, Rostov-on-DonAndrei Sevbitov
I. M. Sechenov First Moscow State Medical University (Sechenov University)
Email: sevbitov_a_v@staff.sechenov.ru
ORCID iD: 0000-0002-8247-3586
Doctor of Medical Sciences, Professor, Head of the Department
Ресей, MoscowAleksei Dorofeev
I. M. Sechenov First Moscow State Medical University (Sechenov University)
Email: dorofeev_a_e@staff.sechenov.ru
ORCID iD: 0000-0002-0815-4472
Candidate of Medical Sciences, Associate Professor
Ресей, MoscowMaria Kuznetsova
I. M. Sechenov First Moscow State Medical University (Sechenov University)
Email: kuznetsova_m_yu@staff.sechenov.ru
ORCID iD: 0000-0002-5488-8979
Candidate of Medical Sciences, Associate Professor
Ресей, MoscowӘдебиет тізімі
- Grinin V. M., Vagner V. D., Kabak D. S. et al. The condition of periodontal tissues in patients undergoing treatment in a multidisciplinary hospital. Klinicheskaya stomatologiya = Clinical dentistry. 2019;(3):32–33. (In Russ.).
- Gushchin V. V., Vorobiev M. V. On the issue of the increasing role of gerontostomatology at the present stage. Institut stomatologii = Institute of Dentistry. 2021;2:94–95. (In Russ.).
- Zhdanova S. S., Kostrigina E. D., Bogonina O. V. et al. Improving the diagnosis of periodontal tissue diseases using modern examination methods. Dental Forum. 2023;3(90):54–58. (In Russ.).
- Kireev V. V., Dorofeev A. E., Sevbitov A. V. et al. Periodontal care at outpatient dental appointments for elderly patients. Medicinskij i farmacevticheskij zhurnal "Pul's" = Medical and pharmaceutical journal "Pulse". 2023;25(9)10–18. (In Russ.).
- Miklyaev S. V., Leonova O. M., Sushchenko A. V. et al. The effect of various methods of removing dental deposits on the structure of tooth tissues. Vestnik Volgogradskogo gosudarstvennogo medicinskogo universiteta = Journal of Volgograd State Medical University. 2021;3(79):45–51. (In Russ.).
- Makedonova Yu. A., Gavrikova L. M., D'yachenko S. V. et al. Clinical methods for monitoring inflammatory and destructive lesions of the oral mucosa. Volgogradskij nauchno-medicinskij zhurnal = Volgograd Scientific and Medical Journal. 2022;19(2):12–17. (In Russ.).
- Kireev V. V., Karartinyan A. O., Sevbitov A. V. et al. The use of an ultrasound device in periodontal practice in elderly and senile people. Medicinskij alfavit = Medical alphabet. 2023;30:76–78. (In Russ.).
- Makarova E. S., Ryzhova S. A., Frolova K. E. et al. Modern method of periodontal diagnosis using Florida Probe and modern treatment of gum recession. Obrazovanie i nauka v Rossii i za rubezhom = Education and science in Russia and abroad. 2019;2(50):244–254. (In Russ.).
- Firsova I. V., Gasanov M. M., Alekhanova I. F. et al. The main risk factors for the development of periodontal complications at the stage of non-removable orthopedic treatment of patients with chronic periodontitis. Vestnik Volgogradskogo gosudarstvennogo medicinskogo universiteta = Journal of Volgograd State Medical University. 2022;19(1):17–23. (In Russ.).
- Shkarin V. V., Porojskij S. V., Makedonova Yu. A. et al. Dispensary observation of patients with erosive and ulcerative lesions of the oral cavity. Volgogradskij nauchno-medicinskij zhurnal = Volgograd Scientific and Medical Journal. 2023;20(2):5–10. (In Russ.).
Қосымша файлдар








